
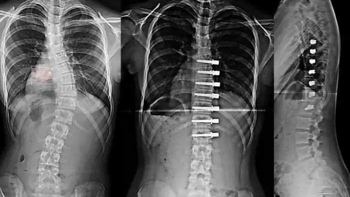
One of the problems in the surgical treatment of patients with Scoliosis, i.e. Spinal Curvature, is the fixation of the spine, thus eliminating spinal mobility in a certain area.
Thanks to the Tethering Method applied by Prof. Dr. Azmi HAMZAOĞLU and his team, this problem is eliminated. The patient’s spine movement is not destroyed. This provides an important advantage especially in pediatric patients. Because the growth of the child is not hindered.
In the spine of children treated with the Tethering Method, the growth in the concave direction continues, while the growth in the convex direction stops thanks to the rope attached to the screws. Thus, the curvature corrects itself over time. The operated area also retains its mobility.
Thanks to the stretching method,
The curvature is corrected without the need for freezing/fixation of the spine.
Mobility is not lost.
Growth is not inhibited in children.
